“左右开弓,穿针引线”:逆向技术破解心脏冠脉CTO难题
您知道心脏冠脉完全闭塞有多凶险吗?近日,我院心内科凭借冠脉介入逆向技术,成功攻克一例高难度、高风险慢性完全闭塞(CTO)病变,再次彰显技术实力!
患者为76岁老年男性,半年前曾因急性心肌梗死接受治疗,但右冠脉(RCA)仍为慢性完全闭塞。此次因胸闷再发入院,心脏功能较差,射血分数仅40%。影像显示,RCA近端迂曲闭塞,侧枝循环扭曲,手术难度与风险极高。

术前影像:揭示复杂病变
手术中,团队采用双侧造影,正向导丝屡次尝试未果。关键时刻,果断转向逆向技术,犹如“左右开弓”,从侧枝循环逆向推进。在严重扭曲钙化的微通道内,术者胆大心细,交替使用sion blue和Fielder XT导丝,如“穿针引线”般精准操作。历经3小时奋战,最终成功开通闭塞血管。在侯子龙主任指导下,邹玉刚副主任医师主刀,团队协作圆满成功。术后患者恢复良好。

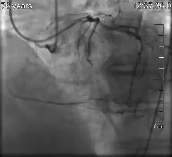
术中实况:技术熔炉
本次手术堪称技术博览会:动用6根导丝、2根微导管、3根球囊,灵活运用逆向微导管、导丝更替、Knuckle、Reverse Cart等尖端技术,充分展现了冠脉介入的综合实力。

术后:生命通道重燃
此次独立完成逆向技术开通高危CTO,标志着我院心血管介入实现里程碑式突破,技术水准跃升至新台阶。
CTO病变被誉为冠脉介入的“最后堡垒”,占病例的10%,手术成功率常低于70%。逆向技术由葛均波院士首创,能提升成功率10%以上,但操作复杂、风险极高,对术者要求极严。

技术突破不断:我院心内科CTO手术成功率已超85%,达国内先进。仅隔4天,团队再次独立完成高危钙化病变旋磨术,彰显强劲实力。近年来,华美院区心内科介入技术飞速发展,邹玉刚副主任医师等青年专家以创新精神,推动复杂高危手术比例大幅提升。
专家简介

侯子龙,主任医师,聊城市第二人民医院华美院区心血管内科+综合介入科科主任,毕业于山东医科大学,从事冠脉介入诊疗20余年,擅长开展心绞痛、心肌梗死介入手术及起搏器植入术、下腔滤器植入术、IABP植入术。
坐诊时间:每周二、三、五(华美心内科门诊)

邹玉刚,聊城市第二人民医院华美院区心血管内科+综合介入科,硕士研究生,十佳青年医师,科室副主任,副主任医师,聊城市健康科普专家,山东省医学会综合介入分会委员,山东省医师协会综合介入医师分会常务委员,山东省医学会心血管委员会委员,山东省心血管医学会心力衰竭分会青年委员,聊城市第二人民医院工作多年,曾从事重症医学专业,目前从事心血管内科+冠脉介入+综合介入专业;
擅长各种急危重症的急救及诊治,心血管常见病、疑难疾病的诊治,老年病的综合诊治,尤其擅长心血管钙化、迂曲、左主干、分叉、CTO等复杂冠脉病变介入治疗,可以独立完成逆向开通CTO、严重钙化病变IVUS指导下的冠脉斑块旋磨术,永久性起搏器植入术,IABP植入术。肝癌、肺癌等肿瘤的栓塞治疗;各种呼吸道、消化道、外伤、手术后等各种出血性疾病的介入治疗;痔疮、前列腺增生、子宫肌瘤、脾亢、血管瘤的介入微创栓塞治疗;经皮微创胃造瘘,消化道、胆道狭窄梗阻性疾病的介入治疗等各种综合介入治疗;肺动脉、周围血管等各种血管狭窄和血栓性疾病的介入治疗:下肢动脉狭窄及闭塞的介入治疗;急性肺栓塞的静脉溶栓,急性肺栓塞的肺动脉导管溶栓、吸栓、碎栓、球囊扩张术,慢性血栓栓塞性肺动脉高压的球囊扩张介入治疗;下肢静脉滤器置入取出术(经颈内及股静脉通路),下肢深静脉血栓溶栓导管置入溶栓+抽栓术(经腘静脉通路),下肢静脉狭窄或闭塞(cockett综合征)球囊扩张+支架置入术。具有丰富的临床工作能力。
坐诊时间:周六(华美院区)
如果您或家人正面临心血管疾病挑战,欢迎咨询华美院区心内科,我们将为您提供精准治疗方案。分享本文,传递生命希望,共同关注心脏健康!
相关问答
华为T3O价格?-ZOL问答
其中一个最引人注目的功能是指关节截图技术(KnuckleScreenshot)。通过使用指关节截图技术,在屏幕上轻轻敲击或滑动手指关节即可实现快速截图操作。这项创新使...
如何调整《FIFA15》CPU难度设置?-ZOL问答
5条回答:如何让电脑运行更流畅:你可以在比赛的暂停菜单中,gamesettings中找到CPUGameplayCustomizationSetting,之后就可以随意调整CPU的难度了。足坛传奇...
华为有哪几款手机用的是海思或者,麒麟芯片的-ZOL问答
比较好的是,荣耀V30的流畅度依旧是非常好,因为有华为的方舟编译器等技术加持...而且gloryX10的快速充电也不错,也是40W,还有多功能NFC和knuckle截屏等功能,价格...