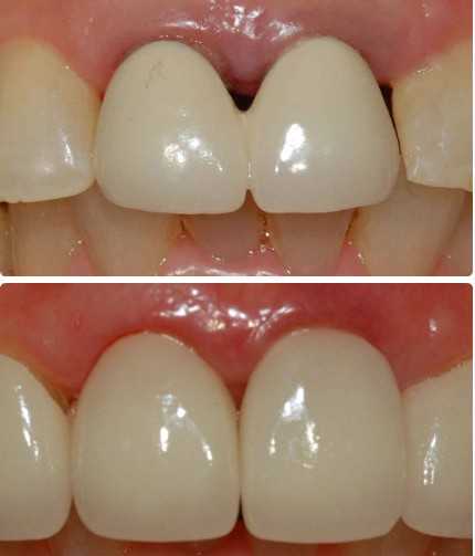
哎呀,说起看牙,不少人心里都犯怵。尤其是当医生说“你这颗牙得做个牙冠”的时候,脑袋里除了对费用的盘算,大概还会飘过一堆疑问:这假牙戴着能舒服吗?吃东西得劲儿不?会不会一眼就被看出来是假的?跟你说吧,这所有的担心,核心都绕不开两个字——形态。一颗好的牙冠,绝不是随便一个白色的套子,它得跟你嘴里其他“原住民”牙齿长得像孪生兄弟,在嘴里各司其职,和谐共处。这背后啊,可是有一整套从古早手艺到黑科技的进化史,今天咱就来唠明白这事儿。
一、 手艺的根:为啥医生都得从雕石膏牙学起?

你可别以为现在都是机器干活了,医生和技师们就光会按按钮。相反,手工雕刻的功夫,那是这行的“童子功”,是理解和感受牙齿灵魂的起点。你去任何一家正规的口腔医学院看看,学生的案头都少不了石膏块和雕刻刀-1。为啥呢?因为牙齿这玩意儿,太精妙了。
它每一个隆起(牙尖)、每一条沟壑(窝沟),都不是白长的。上颌第一磨牙的斜嵴,是为了在咀嚼时像石磨一样高效碾碎食物;前牙灵巧的切缘,是为了切断纤维。这些形态直接决定了功能。让学生们一刀一凿地去还原一颗上颌中切牙,从描绘唇面的弧度,到打磨出邻面正确的接触点,再到雕出那一道自然流畅的牙颈线-1。这个过程,牙冠雕刻技术首先是一门需要心手合一的立体解剖学。通过反复的石膏牙雕刻训练,医生们把标准牙体的三维地图刻进了脑子里,手里有了“准星”,将来无论是评估患者天然的牙齿磨损,还是审阅电脑里设计的牙冠模型,心里都有一把清晰的尺子-9。这就好比书法家一定从临摹楷体开始,有了这个根,后面的狂草创新才不至于散架。

二、 数字化的手:精准到微米的“克隆”术
当然啦,光靠手雕,做个教学模型可以,要给千差万别的患者做修复体,那效率和质量可就跟不上了。这时候,数字化齿科加工就像一位拥有超级稳定“机械手”和“慧眼”的魔法师,全面接管了生产线。
整个过程,堪称一场无缝衔接的精密接力赛。第一棒是“三维扫描”。医生用一个小探头在你嘴里轻轻划过,每秒就能捕获数万个数据点,生成一个你牙齿的3D数字模型,误差直接控制到比头发丝还细的10微米级-4。这彻底告别了老式取模时那种让人干呕的糊糊,以及模型收缩变形的烦恼。
数据传到电脑,第二棒“CAD设计”就开始了。这里的牙冠雕刻技术,进化成了在虚拟空间里的智能塑形。软件不仅能根据对侧同名牙自动镜像生成一个雏形,更能通过算法,参考你天然的咬合力量分布、邻牙的位置,来优化牙冠的受力结构,让它既美观又结实-4。设计师还能从云端海量案例库里调取类似情况的成功设计,大大提升了效率。
最后是“智能生产”,这也是最体现“雕刻”本质的一环。对于常用的氧化锆等高强度材料,主要采用“减法雕刻”——用精密的车床,用钻石车针从一块陶瓷胚料里,一点点把多余的 material “啃”掉,最终雕出设计好的形态,精度可以达到0.02毫米-4。而对于更复杂的结构,比如一些支架,“加法制造”的3D打印技术就大显身手了,特别是氧化锆材料的3D打印,近年来有了巨大突破-2。以前打印氧化锆有个致命瓶颈:脱脂烧结过程动辄需要上百个小时,根本没法实现“当日戴牙”-2。但现在有新工艺通过特殊的多孔石墨毡和真空系统,能让气体顺利排出,硬是把这关键一步压缩到了30分钟以内-2。这意味着,未来你上午磨了牙,医生下午就能给你戴上坚固又美观的全瓷冠,不用再忍受临时牙套或者等待一两周的煎熬了。
更有甚者,咱们中国自己的企业,比如杭州的泰利斯,还搞出了更先进的“喷墨定制”技术。它像超高精度的打印机一样,以每秒上亿滴的速度喷射纳米级的液态氧化锆,层层堆叠成型,层厚能达到惊人的2-10微米-6。这种牙冠雕刻技术,已经精细到了微观架构的构建层面。它不仅复制外形,还能在内部打造特殊的微结构,让粘接更牢固,甚至能做出超薄的修复体来解决患者牙齿空间不足的难题-6。你说神不神?
三、 未来的脑:当AI开始思考怎么“长”牙
数字化让制作过程精准高效了,但最终的形态设计,很大程度上还得依赖技师的经验和审美。现在,连这个环节也正在被技术颠覆——AI开始学着当“牙医”了。
全球首个AI牙冠设计平台已经亮相,它的目标不只是辅助,更是要学习与创造-10。这个AI“大脑”通过深度学习海量的、成功的口腔修复病例数据,能够自己理解什么是既符合生物力学、又自然美观的牙齿形态。给定患者的缺牙位置和周围环境,它能在瞬间生成多个设计草案,供医生挑选和微调。
这可不是简单的模板套用。AI在设计时,会综合考虑你口腔的全局:邻牙的磨损情况、对颌牙的咬合轨迹、甚至你面部微笑的线条。它正在把牙冠雕刻技术,从一门依赖个人经验的“手艺”和“技术”,推向一个基于大数据和智能算法的“科学决策”新阶段-10。未来,我们迎来的可能是真正意义上的“个性化精准修复”,每一颗牙冠都是为你独家计算、量身定制的最优解。
四、 炫酷的警告:牙冠上文身?这事儿可得慎重点!
说到个性化,最近有些年轻人追求极致,流行起了“牙冠文身”。就是在做好的牙冠上,用激光刻上图案或文字,甚至把图案做到瓷粉里一起烧制-3。听起来很酷,但口腔专家们的眉头可是皱得紧紧的-3。
这简直是给牙齿健康“埋雷”啊!再精细的雕刻,也会破坏牙冠表面那层光滑致密的釉质保护层,让细菌有了藏身的“豪华Loft”,极易导致牙冠边缘发炎和基牙蛀牙-3。那些雕刻的颜料成分不明,长期放在温暖潮湿的口腔环境里,会不会释放有害物质,完全是个未知数-3。牙齿终究不是画布或者手机壳,它经不起这样的“时尚折腾”。真正的个性,应该建立在健康和功能之上,一口好用又耐用的好牙,才是最长情的陪伴。
所以你看,从医生手中温润的石膏牙,到电脑里跳动的数字模型,再到3D打印机里渐渐成型的氧化锆冠,牙冠雕刻技术的终极追求从未改变:那就是在方寸之间,还原生命本身的精巧与智慧。它一边扎根于最传统的手工领悟,一边飞奔向最前沿的智能未来,这一切,都是为了让你忘记口中那颗假牙的存在,自信地笑,痛快地吃。这,也许就是医学与科技最温暖的默契吧。